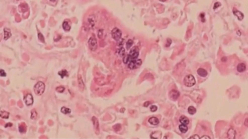
Share Twitter Facebook LinkedIn Email With over 1,000 measles cases reported in the United States, infectious disease specialists are raising alarms about the spread of the virus.Read More